Abstract
BCL-XL and BCL-2 are key anti-apoptotic proteins promoting cancer survival and chemoresistance. 753B is a novel BCL-XL/BCL-2 proteolysis targeting chimera (PROTAC) that causes BCL-XL/BCL-2 ubiquitination and degradation selectively in cells expressing VHL, sparing platelets that lack VHL. Here we studied the efficacy of 753B and its senolytic activity in leukemia.
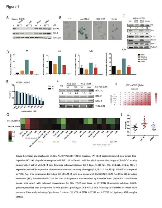
We first evaluated the sensitivity of genetically diverse 17 leukemia cell lines, including 10 AML, 5 T-ALL and 2 MPN-AML to BCL-XL/BCL-2 dual inhibitor ABT263, 1 st generation BCL-XL PROTAC DT2216 (Khan et al., Nature Medicine 2019) and BCL-XL/BCL-2 PROTAC 753B. 753B induced time and dose-dependent BCL-XL degradation in all lines at concentrations lower than that of DT2216, and BCL-2 degradation in 16 lines except for ETP cell line Loucy, within 24 hours (Fig. 1A). 753B caused dose-dependent reduction of viability in AML cell lines by CellTiter-Glo (CTG) assay at 24hr, with an IC 50 range of 60nM - 27 μM. Six AML (KG-1, Kasumi-1, OCI-AML3, U937, TF-1 and HEL-92) and 3 T-ALL (Jurkat, PF832, CCRF-CEM) were sensitive to 753B with lower average IC 50 values (0.8 μM) than those for ABT263 (2.2 μM).
Recent findings indicate that chemoresistance in AML is associated with chemotherapy (Ara-C)-induced senescence (Duy et al., Cancer Discovery 2021). We found that Ara-C indeed induced cellular senescence (SnCs) in MOLM-14 and Kasumi-1 AML cells, as manifested by increased cell size, induction of senescence-associated β-galactosidase activity (Fig. 1B), upregulation of cell cycle regulator proteins (p16, p21, p53) (Fig.1C), and expression of the senescence-associated secretory phenotype factors (IL-6, IL-18, IL-1β) (Fig.1D). 753B largely reversed chemotherapy-induced SnCs phenotype and induced cell death in senescent AML cells (Fig. 1E). To explore the senolytic mechanism of 753B, we FACS-sorted viable leukemia cells into senescence-high or -low populations based on C 12-FDG (fluorogenic substrate di-β-D-galactopyranoside) staining. Consistent with normal HSC (Chang et al., Nat. Med. 2016), C 12-FDG high senescent AML population expressed higher levels of BCL-XL/2, which can be targeted by 753B (Fig. 1F).
Of note, the degradation of BCL-XL/2 by 753B was accompanied with MCL-1 upregulation in 10/17 cell lines tested. MCL-1 upregulation was observed as early as 4h following 753B exposure. Co-immunoprecipitation (Co-IP) and BH3 profiling were used to explore mechanisms and role of elevated MCL-1. 753B induced a 2.3-fold increase of BIM binding to MCL-1 compared to control by Co-IP, and facilitated cytochrome c release by MCL-1 specific peptides (MS-1 and mBAD) and MCL-1 inhibitor (S63845) by BH3 profiling, indicating increased MCL-1 dependence (Fig. 1G). We next tested the combined inhibition of BCL-XL/2 and MCL-1 on cell viability. 753B induced 50% cell killing at concentration of 1.3 μM, and nearly complete cell killing when combined with 5nM S63845 in OCI-AML2 at 24hr (Fig.1H), suggesting a synergistic effect in inducing apoptosis.
We next isolated blasts from 23 primary AML samples and tested their sensitivity to 753B. 753B potently reduced cell viability with a median IC 50 value of 0.36 μM, ranging between 0.6 and 2.3 μM; and in 19/23 primary AML its IC 50 was below 0.45 μM. Similar to cell lines, 753B was more potent in degrading BCL-XL and inducing apoptosis than DT2216. 753B showed potency comparable to ABT-263 in 15 AML samples, including 9 Venetoclax-resistant samples defined as IC50>1 μM (median IC 50, 753B - 0.197 μM; ABT-263 - 0.280 μM) (Fig. 1I). BCL-2 degradation was seen in 6 out of 9 samples tested. One μM 753B induced apoptosis in both, bulk blasts and CD34+ stem/progenitor cells in 7 AML (63.9% vs 52.4%).
In summary, BCL-XL/BCL-2 PROTAC 753B potently reduced cell viability through induction of apoptosis, and eliminated chemotherapy-induced senescent leukemia cells. In vivo efficacy studies of 753B combined with chemotherapy in the cell line- and patient-derived xenografts are ongoing and will be updated.
Andreeff: ONO Pharmaceuticals: Research Funding; AstraZeneca: Research Funding; Karyopharm: Research Funding; Glycomimetics: Consultancy; Amgen: Research Funding; Novartis, Cancer UK; Leukemia & Lymphoma Society (LLS), German Research Council; NCI-RDCRN (Rare Disease Clin Network), CLL Foundation; Novartis: Membership on an entity's Board of Directors or advisory committees; Syndax: Consultancy; Senti-Bio: Consultancy; Oxford Biomedica UK: Research Funding; Medicxi: Consultancy; Reata, Aptose, Eutropics, SentiBio; Chimerix, Oncolyze: Current holder of individual stocks in a privately-held company; Breast Cancer Research Foundation: Research Funding; Daiichi-Sankyo: Consultancy, Research Funding; Aptose: Consultancy. Jain: Adaptive Biotechnologies: Honoraria, Research Funding; Cellectis: Honoraria, Research Funding; Fate Therapeutics: Research Funding; Servier: Honoraria, Research Funding; Pfizer: Research Funding; Incyte: Research Funding; Precision Biosciences: Honoraria, Research Funding; Beigene: Honoraria; Bristol Myers Squibb: Honoraria, Research Funding; Genentech: Honoraria, Research Funding; Janssen: Honoraria; TG Therapeutics: Honoraria; ADC Therapeutics: Honoraria, Research Funding; AstraZeneca: Honoraria, Research Funding; Aprea Therapeutics: Research Funding; AbbVie: Honoraria, Research Funding; Pharmacyclics: Research Funding. Zhang: Dialectic Therapeutics: Other: Co-founder and stakeholder. Co-inventor of Bcl-xL PROTACs disclosed in this study.. Zheng: Dialectic Therapeutics: Other: Co-founder and stakeholder. Inventor of Bcl-xL PROTACS disclosed in this study.. Konopleva: KisoJi: Research Funding; Rafael Pharmaceuticals: Other: grant support, Research Funding; AstraZeneca: Other: grant support, Research Funding; AbbVie: Consultancy, Honoraria, Other: Grant Support, Research Funding; Sanofi: Other: grant support, Research Funding; Reata Pharmaceuticals: Current holder of stock options in a privately-held company, Patents & Royalties: intellectual property rights; Genentech: Consultancy, Honoraria, Other: grant support, Research Funding; Stemline Therapeutics: Research Funding; Ascentage: Other: grant support, Research Funding; Novartis: Other: research funding pending, Patents & Royalties: intellectual property rights; Calithera: Other: grant support, Research Funding; Ablynx: Other: grant support, Research Funding; Forty Seven: Other: grant support, Research Funding; Cellectis: Other: grant support; Eli Lilly: Patents & Royalties: intellectual property rights, Research Funding; F. Hoffmann-La Roche: Consultancy, Honoraria, Other: grant support; Agios: Other: grant support, Research Funding.

This feature is available to Subscribers Only
Sign In or Create an Account Close Modal